En Clínica Dental Santa Ana te contamos cuales son las principales enfermedades, como tratarlas y algunos tips para evitarlas.
El cuidado de las encías es esencial para mantener la salud bucal y prevenir la enfermedad periodontal. El tejido periodontal suele ser el tejido más olvidado durante la higiene bucal, sin embargo, descuidarlo puede provocar infecciones.
En Clínica Santa Ana te contamos cuales son las principales enfermedades, como tratarlas y algunos tips para evitarlas.
La enfermedad de las encías debe tratarse lo antes posible para evitar que progrese y perjudique su salud bucal. La gingivitis, la periodontitis y la perimplantitis son las formas más comunes de enfermedad periodontal, por lo que es importante prestar atención a sus síntomas y acudir al especialista lo antes posible.

– Gingivitis
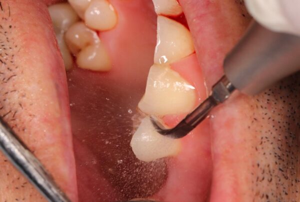
Esta es la forma más común de enfermedad de las encías porque su causa principal es la acumulación de placa alrededor de los dientes. Se caracteriza por inflamación, irritación y sangrado al cepillarse. Debido a que no es una enfermedad grave, el tratamiento generalmente implica únicamente una limpieza profesional llamada raspado y alisado radicular. Primero, se realiza un raspado dental para eliminar la placa de la superficie de los dientes y debajo del tejido periodontal. A continuación, se realiza un alisado radicular para suavizar la raíz del diente para reducir la inflamación y evitar la proliferación de bacterias en la zona.
– Periodontitis
Es una etapa más avanzada de la gingivitis, por lo que los síntomas son más pronunciados: recesión de las encías, mal aliento, dolor al comer, sangrado abundante, inflamación y pérdida de estabilidad de los dientes. Esto se debe a que este tipo de enfermedad de las encías también puede afectar el tejido óseo de la boca, provocando la pérdida de dientes en los casos más graves. El tratamiento para esta forma de enfermedad de las encías es más severo, aunque siempre depende de su condición. Por lo general, comienza con el raspado y alisado radicular para eliminar el sarro y las bacterias. Además, es probable que el especialista recete un tratamiento con antibióticos en los próximos días para controlar la infección bacteriana. Se podrá realizar la cirugía periodontal necesaria en los casos que requieran mayor atención.
– Perimplantitis
La perimplantitis es una inflamación aguda del tejido periodontal que rodea los implantes dentales. Los síntomas de esta forma de enfermedad de las encías incluyen enrojecimiento e inflamación del tejido de las encías, sangrado, dolor, migración del implante, riesgo de supuración y, en casos avanzados, pérdida ósea. Antes de desarrollar perimplantitis, existe una etapa inicial llamada mucositis en la que las encías alrededor del implante se inflaman.
Como hemos visto en casos anteriores, el primer paso del tratamiento pasa por una limpieza profunda de las encías. Para ello, un profesional eliminará la placa del tejido de la encía afectada y la placa alrededor del implante, y luego administrará un tratamiento con antibióticos. Dependiendo del estado de las encías y de los implantes dentales, el periodoncista puede recomendar una cirugía para regenerar el hueso perdido y, en casos severos, puede recomendar la extracción de los implantes y la colocación de otros nuevos.

– Recomendaciones para preservar la salud de los dientes.
Las patologías en las encías generalmente se producen a causa de una carencia de atenciones y una falta de regularidad en la higiene dental. Desde la clínica Santa Ana, te brindamos una serie de sugerencias para cuidar la salud de tu boca, las cuales te asistirán a preservar la salud de tus encías:
- Sigue un programa de asepsia en la boca: la mejor manera de mantener la boca higiénica es cepillarse los dientes como mínimo dos veces por día, preferentemente luego de cada comida. Utiliza un cepillo de dientes de cerdas suaves y también la hilo dental diariamente. De esta forma, no dañarán las encías y expulsarán la totalidad de residuos de alimentos.
- Consume alimentos con un contenido de vitaminas y minerales adecuado para aportarle los nutrientes necesarios al diente. Por otro lado, limita la ingesta de azúcares, debido a que su ingesta excesiva es posible que genere riesgos en la salud de la boca.
- Evitar el tabaco: este elemento es enormemente nocivo para los polímeros periodontales, de modo que su ingesta significativamente incrementa el peligro de tener una enfermedad en la encía.
- Combate el estres: el estres puede dañar el sistema inmunológico y, por ende, aumentar las posibilidades de contraer una enfermedad en la boca. Debido a eso, aprender a administrarlo te ayudará a evitar padecimientos en la boca.
- Visita con regularidad al dentista: asiste a controles dentales regulares para detectar y atender cualquier tipo de enfermedad en las encías a tiempo.
Para conservar una boca saludable es muy importante cuidar la salud de las encías. Asistir a controles regulares te ayudará a saber que estás preservando las piezas de manera correcta. En la Clínica Dental Santa Santa Ana tenemos un grupo de especialistas en periodoncia que están comprometidos a atenderte. ¡Escríbenos para determinar la condición de salud de tus dientes!

